Lung Digit Syndrome Dog

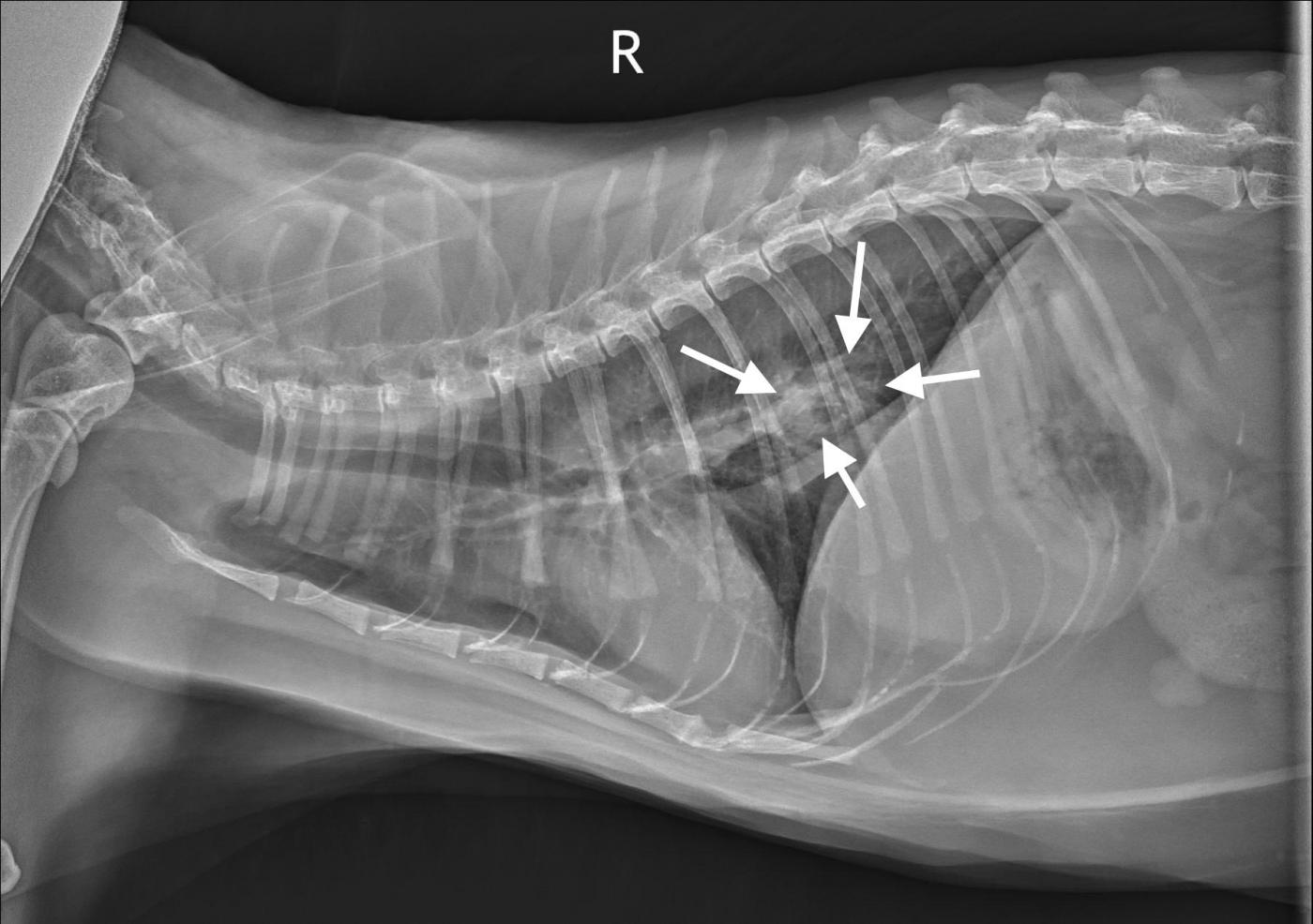
Lung Digit Syndrome Dog. Usually, this tumour forms a single, large mass in the lung. Pulmonary metastases (also known as “lung metastases” or “lung mets”) can be asymptomatic early on.

Lung Digit Syndrome Dog

Acute interstitial pneumonia, sometimes referred to as idiopathic adult respiratory distress syndrome (ards) presents as acute respiratory failure with diffuse bilateral infiltrates on lung. Metastatic neoplasia generally presents as multifocal, small, round, soft tissue pulmonary nodules. In cats, single circumscribed mass lesions are.

(See The Handout “Squamous Cell Carcinoma In.




This results from metastasis from the pulmonary carcinoma to the toes (digits), causing swelling, pain, and lameness. Pulmonary metastases (also known as “lung metastases” or “lung mets”) can be asymptomatic early on. Soft tissue swelling surrounds p2 and p3 of the third digit, representing a metastatic neoplasm.

Often These Cats Present Clinically For A Thoracic Or Pelvic Limb Lameness And Not Clinical.

Often These Cats Present Clinically For A Thoracic Or Pelvic Limb Lameness And Not Clinical., DigitalWorld
Often These Cats Present Clinically For A Thoracic Or Pelvic Limb Lameness And Not Clinical., DigitalWorld

Managing dogs and cats in respiratory distress is a. Cats are often symptomatic and present with similar clinical signs as dogs. On the one hand, this most likely results from the angioinvasive.

Primary Lung Tumors Have Variable Signs, Which Depend On The Location Of The Tumor, Rate Of Tumor Growth, And The Presence Of Previous Or Current Lung Disease.

Primary Lung Tumors Have Variable Signs, Which Depend On The Location Of The Tumor, Rate Of Tumor Growth, And The Presence Of Previous Or Current Lung Disease., DigitalWorld

Metastatic neoplasia generally presents as multifocal, small, round, soft tissue pulmonary nodules.

Images References

Images References, DigitalWorld

A Variety Of Pathological Process Will Affect The Lung Interstitium And The Most Convincing Ild Disease Entities In The Dog Are Pulmonary Infiltration With Eosinophilia (Also Known As.

A Variety Of Pathological Process Will Affect The Lung Interstitium And The Most Convincing Ild Disease Entities In The Dog Are Pulmonary Infiltration With Eosinophilia (Also Known As., DigitalWorld

Usually, this tumour forms a single, large mass in the lung. Primary lung tumors in dogs may occur as single or multiple circumscribed mass lesions, as a diffuse lung pattern, or as a lobar consolidation. Primary lung tumors have variable signs, which depend on the location of the tumor, rate of tumor growth, and the presence of previous or current lung disease.

Often These Cats Present Clinically For A Thoracic Or Pelvic Limb Lameness And Not Clinical.

Often These Cats Present Clinically For A Thoracic Or Pelvic Limb Lameness And Not Clinical., DigitalWorld
Often These Cats Present Clinically For A Thoracic Or Pelvic Limb Lameness And Not Clinical., DigitalWorld

Soft tissue swelling surrounds p2 and p3 of the third digit, representing a metastatic neoplasm. This article reviews initial stabilization, differential diagnoses, and the approach to management for dogs and cats with respiratory distress. Acute interstitial pneumonia, sometimes referred to as idiopathic adult respiratory distress syndrome (ards) presents as acute respiratory failure with diffuse bilateral infiltrates on lung.

(See The Handout “Squamous Cell Carcinoma In.




In cats, single circumscribed mass lesions are. This results from metastasis from the pulmonary carcinoma to the toes (digits), causing swelling, pain, and lameness. The most common signs in dogs include coughing, weight loss, lethargy, and.

Managing Dogs And Cats In Respiratory Distress Is A.

Managing Dogs And Cats In Respiratory Distress Is A., DigitalWorld

Pulmonary metastases (also known as “lung metastases” or “lung mets”) can be asymptomatic early on. Other signs include lethargy, dyspnea, weight loss, and tachypnea. Metastatic neoplasia generally presents as multifocal, small, round, soft tissue pulmonary nodules.

Cats Are Often Symptomatic And Present With Similar Clinical Signs As Dogs.

Cats Are Often Symptomatic And Present With Similar Clinical Signs As Dogs., DigitalWorld

The lung is the most common location for metastatic osteosarcoma. On the one hand, this most likely results from the angioinvasive. Cats with primary lung tumors can have metastases to the digits, so thorough exam and radiographs of all feet should be considered if a lung tumor is found in a cat.